"У многих просто выпадают". Ученые допустили порчу зубов из-за коронавируса
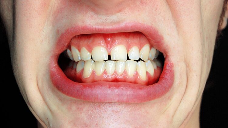
Некоторые люди, переболевшие коронавирусом, утверждают, что после заболевания ухудшилось состояние их зубов, у многих они выпадают без кровотечений. Согласно предварительным предположениям исследователей, это может быть связано с плохим насыщением головы кровью, что является следствием проблем с сосудами.
Об этом сообщает HuffPost.
Так, в посвященной пациентам с коронавирусом группе Survivor Corps многие пользователи сообщают об ухудшении состояния зубов даже спустя какое-то время после заражения. Появилось предположение, что Covid-19 может инфицировать кровеносные сосуды и нарушить приток крови к деснам.
Сосудистый биолог и медицинский директор Фонда ангиогенеза Уильям Ли заподозрил, что такие последствия могут быть вызваны нарушением кровотока, что проявляется во время болезни. Как известно, иногда коронавирус приводит к образованию тромбов и закупорке сосудов. Таким образом уже наблюдались повреждения сердца, легких, кишечника, почек и головного мозга. Нечто подобное может происходить и с деснами, не получающими достаточно кислорода через кровь.
"Наша челюсть очень насыщенная кровеносными сосудами. У нас много зубов, чувствительные десны, у нас есть язык и вкусовые рецепторы, которые требуют питания", - отметил он.
Ученые отмечают, что при заражении коронавирусом, бактерии захватывают белки АПФ 2, которые являются рецептором для входа в клетку вирусов.
Чем больше таких белков в определенной части организма, тем больше поражается орган. Примечательно, что чаще всего этот белок встречается в легких, которые страдают больше всего однако немало их и в ротовой полости.
"Этот факт означает, что существует теоретический биологический путь, по которому вирус может может влиять на ротовую полость", - заявила директор из отдела охраны здоровья населения мира в сети здравоохранения Northwell Health в Нью-Йорке Эрик Чио-Пена.
Напомним, медик Марлен Каплан из одной больниц Нью-Йорка рассказал о том, как ему удалось оправиться от Covid-19 и дал ряд советов своим коллегам. По словам медработника, он справился с коронавирусом за две недели. Каплан описал течение своей болезни.
Как сообщала "Страна", у ведущей теленовостей ТСН Марички Падалко в прямом эфире выпал передний зуб. Несмотря на это, она продолжила работу.




